Aortic Root Dilation

Aortic Root Dilation

Aortic root dilation is a condition where the aortic root, the part of the aorta that connects to the heart, becomes enlarged. This enlargement can lead to serious health complications if left untreated. Understanding the causes, symptoms, diagnosis, and treatment options for aortic root dilation is crucial for managing this condition effectively.

Understanding Aortic Root Dilation

Aortic root dilation refers to the widening of the aortic root, which is the initial segment of the aorta that emerges from the heart. The aorta is the largest artery in the body, responsible for carrying oxygen-rich blood from the heart to the rest of the body. When the aortic root dilates, it can affect the heart's ability to pump blood efficiently and may lead to other cardiovascular issues.

Causes of Aortic Root Dilation

The causes of aortic root dilation can be varied and often depend on underlying genetic or acquired conditions. Some of the most common causes include:

  • Genetic Disorders: Conditions such as Marfan syndrome, Ehlers-Danlos syndrome, and Loeys-Dietz syndrome can lead to aortic root dilation due to abnormalities in the connective tissue.
  • Hypertension: High blood pressure can put excessive strain on the aortic root, leading to dilation over time.
  • Aortic Valve Disease: Conditions affecting the aortic valve, such as aortic regurgitation or aortic stenosis, can cause the aortic root to dilate.
  • Inflammatory Conditions: Diseases like Takayasu arteritis and giant cell arteritis can cause inflammation and dilation of the aortic root.
  • Infectious Diseases: Infections such as syphilis and bacterial endocarditis can also lead to aortic root dilation.
  • Trauma: Injuries to the chest or aorta can result in dilation of the aortic root.

Symptoms of Aortic Root Dilation

Aortic root dilation may not always present with symptoms, especially in the early stages. However, as the condition progresses, individuals may experience various symptoms, including:

  • Chest Pain: Pain or discomfort in the chest, which may radiate to the back, neck, or jaw.
  • Shortness of Breath: Difficulty breathing, especially during physical activity.
  • Fatigue: Persistent tiredness and weakness.
  • Dizziness or Fainting: Feeling lightheaded or losing consciousness.
  • Palpitations: Awareness of the heart beating rapidly or irregularly.
  • Swelling in the Legs or Abdomen: Edema, or fluid retention, in the lower extremities or abdomen.

It is important to note that some individuals with aortic root dilation may not experience any symptoms until the condition becomes severe. Regular medical check-ups and screenings are essential for early detection and management.

Diagnosing Aortic Root Dilation

Diagnosing aortic root dilation involves a combination of medical history, physical examination, and various diagnostic tests. The diagnostic process typically includes:

  • Medical History and Physical Examination: The healthcare provider will review the patient's medical history and perform a physical exam to assess for signs of aortic root dilation.
  • Echocardiogram: This non-invasive test uses sound waves to create images of the heart and aorta, allowing the healthcare provider to measure the size of the aortic root and assess its function.
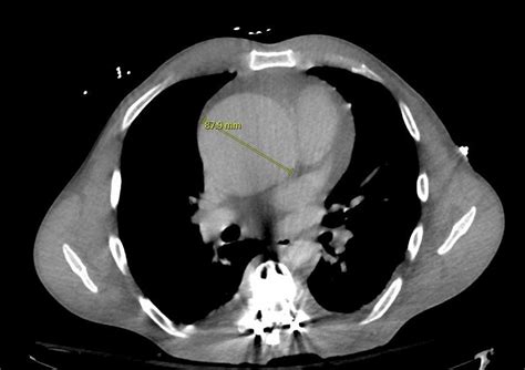
  • Computed Tomography (CT) Scan: A CT scan provides detailed images of the aorta and can help identify the extent of dilation and any associated abnormalities.
  • Magnetic Resonance Imaging (MRI): MRI offers high-resolution images of the heart and aorta, providing valuable information about the structure and function of the aortic root.
  • Angiography: This invasive procedure involves injecting a contrast dye into the blood vessels to visualize the aorta and detect any abnormalities.

In some cases, additional tests such as a stress test or cardiac catheterization may be recommended to further evaluate the heart's function and the severity of aortic root dilation.

Treatment Options for Aortic Root Dilation

The treatment of aortic root dilation depends on the underlying cause, the severity of the condition, and the individual's overall health. Treatment options may include:

  • Medications: Medications such as beta-blockers, angiotensin-converting enzyme (ACE) inhibitors, and angiotensin II receptor blockers (ARBs) can help manage blood pressure and reduce the strain on the aortic root.
  • Lifestyle Modifications: Adopting a healthy lifestyle, including a balanced diet, regular exercise, and avoiding tobacco and excessive alcohol, can help manage aortic root dilation and prevent further complications.
  • Surgery: In severe cases, surgical intervention may be necessary to repair or replace the dilated aortic root. Common surgical procedures include:
Procedure Description
Aortic Root Replacement This procedure involves replacing the dilated aortic root with a synthetic graft or a biological valve.
Valve-Sparing Aortic Root Replacement This technique preserves the patient's own aortic valve while replacing the dilated aortic root.
Thoracic Endovascular Aortic Repair (TEVAR) This minimally invasive procedure uses a stent-graft to repair the dilated aortic root.

In some cases, a combination of these treatments may be recommended to achieve the best outcomes.

📝 Note: The choice of treatment will depend on individual factors, including the severity of aortic root dilation, the presence of symptoms, and the underlying cause. It is essential to consult with a healthcare provider to determine the most appropriate treatment plan.

Living with Aortic Root Dilation

Living with aortic root dilation requires ongoing management and regular monitoring to prevent complications and ensure optimal health. Individuals with this condition should:

  • Follow a Healthy Lifestyle: Maintain a balanced diet, engage in regular physical activity, and avoid habits that can exacerbate the condition, such as smoking and excessive alcohol consumption.
  • Regular Medical Check-ups: Schedule regular appointments with a healthcare provider to monitor the condition and adjust treatment as needed.
  • Manage Underlying Conditions: Effectively manage any underlying conditions, such as hypertension or genetic disorders, to reduce the risk of complications.
  • Educate Family Members: Inform family members about the condition and the importance of regular screenings, especially if there is a genetic component.

By taking proactive steps and working closely with healthcare providers, individuals with aortic root dilation can manage their condition effectively and improve their quality of life.

Regular follow-ups and adherence to the treatment plan are crucial for monitoring the progression of aortic root dilation and preventing serious complications. Early detection and intervention can significantly improve outcomes and reduce the risk of life-threatening events.

In summary, aortic root dilation is a serious condition that requires careful management and regular monitoring. Understanding the causes, symptoms, diagnosis, and treatment options is essential for effectively managing this condition and improving overall health. By adopting a healthy lifestyle, following a comprehensive treatment plan, and maintaining regular medical check-ups, individuals with aortic root dilation can lead fulfilling lives and minimize the risk of complications.

Related Terms:

  • aortic root dilation chart
  • aortic root dilation symptoms
  • normal aorta diameter by age
  • aortic root dilation vs aneurysm
  • aortic root aneurysm size criteria
  • aortic root size chart