Big Front Teeth

Big Front Teeth

Dental health is a critical aspect of overall well-being, and one of the most noticeable features of a person's smile is their big front teeth. These teeth, known as the maxillary central incisors, play a significant role in both aesthetics and functionality. Understanding the importance of big front teeth, their potential issues, and how to care for them can greatly enhance your oral health and confidence.

Understanding Big Front Teeth

Big front teeth are the two central teeth in the upper jaw. They are often the first teeth that people notice when you smile or speak. These teeth are crucial for several reasons:

  • Aesthetics: Big front teeth contribute significantly to the overall appearance of your smile. They can make your smile more attractive and symmetrical.
  • Functionality: These teeth are essential for biting and tearing food. They help in the initial stages of digestion by breaking down food into smaller pieces.
  • Speech: Big front teeth play a role in the articulation of certain sounds, such as "th" and "s".

Common Issues with Big Front Teeth

While big front teeth can enhance your smile, they are also prone to certain issues. Some of the most common problems include:

  • Crowding: Big front teeth can sometimes lead to crowding, where there is not enough space in the jaw for all the teeth to align properly.
  • Gaps: Conversely, big front teeth can also result in gaps between the teeth, known as diastema.
  • Protrusion: Big front teeth may protrude forward, affecting the bite and potentially leading to issues with the jaw.
  • Fractures: Due to their prominent position, big front teeth are more susceptible to fractures and chips.

Caring for Big Front Teeth

Proper care and maintenance of big front teeth are essential to prevent issues and maintain a healthy smile. Here are some tips for caring for your big front teeth:

  • Regular Dental Check-ups: Visit your dentist regularly for check-ups and cleanings. This helps in early detection and treatment of any issues.
  • Oral Hygiene: Maintain good oral hygiene by brushing twice a day and flossing daily. Use a soft-bristled toothbrush and fluoride toothpaste.
  • Diet: Avoid foods and drinks that can stain or damage your teeth, such as coffee, tea, and sugary snacks. Opt for a balanced diet rich in fruits, vegetables, and lean proteins.
  • Mouthguards: If you play contact sports, wear a mouthguard to protect your teeth from injuries.
  • Orthodontic Treatment: If you have issues with crowding, gaps, or protrusion, consider orthodontic treatment such as braces or clear aligners.

Orthodontic Solutions for Big Front Teeth

Orthodontic treatment can address various issues related to big front teeth. Some common orthodontic solutions include:

  • Braces: Traditional metal braces can correct misalignment, crowding, and gaps. They apply gentle pressure to move the teeth into the desired position.
  • Clear Aligners: Clear aligners, such as Invisalign, are a discreet and convenient option for correcting the position of big front teeth. They are removable and virtually invisible.
  • Veneers: Dental veneers can improve the appearance of big front teeth by covering imperfections such as chips, stains, or gaps. They are thin shells of porcelain or composite resin that are bonded to the front surface of the teeth.
  • Crowns: Dental crowns can be used to restore big front teeth that are severely damaged or fractured. They provide strength and durability while improving the appearance of the teeth.

Here is a comparison of different orthodontic solutions:

Treatment Description Duration Visibility
Braces Metal or ceramic brackets and wires 18-24 months Visible
Clear Aligners Removable, clear plastic trays 6-18 months Invisible
Veneers Thin shells bonded to teeth 2-3 visits Invisible
Crowns Caps placed over teeth 2-3 visits Visible

💡 Note: The duration of orthodontic treatment can vary depending on the severity of the issue and individual response to treatment.

Maintaining a Healthy Smile

In addition to orthodontic treatment, maintaining a healthy smile involves several key practices:

  • Regular Dental Visits: Schedule regular dental check-ups and cleanings to monitor your oral health and address any issues promptly.
  • Proper Brushing and Flossing: Brush your teeth at least twice a day and floss daily to remove plaque and prevent cavities.
  • Healthy Diet: Consume a balanced diet rich in nutrients that support oral health, such as calcium and vitamin D.
  • Avoid Harmful Habits: Avoid habits that can damage your teeth, such as smoking, chewing on hard objects, and using your teeth as tools.

By following these practices, you can maintain a healthy and attractive smile with well-aligned big front teeth.

Healthy Smile with Big Front Teeth

Addressing Cosmetic Concerns

Big front teeth can sometimes be a source of cosmetic concern, especially if they are misaligned, discolored, or have visible imperfections. Addressing these concerns can significantly boost your confidence and enhance your smile. Some common cosmetic treatments include:

  • Teeth Whitening: Professional teeth whitening can brighten your smile by removing stains and discoloration. This treatment is safe and effective for most people.
  • Dental Bonding: Dental bonding involves applying a tooth-colored resin to the surface of the teeth to correct chips, cracks, or gaps. It is a quick and affordable solution for minor imperfections.
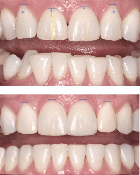
  • Contouring: Dental contouring, also known as tooth reshaping, involves removing small amounts of enamel to change the shape, length, or surface of the teeth. This can improve the appearance of big front teeth that are uneven or have sharp edges.

These cosmetic treatments can be performed individually or in combination to achieve the desired results. Consult with your dentist to determine the best treatment plan for your specific needs.

💡 Note: Cosmetic treatments are generally safe, but it's important to consult with a qualified dental professional to ensure the best results and minimize risks.

The Impact of Big Front Teeth on Self-Confidence

Big front teeth can have a significant impact on self-confidence. A beautiful smile can enhance your appearance, improve your social interactions, and boost your overall self-esteem. However, if you are self-conscious about your big front teeth, it can affect your confidence and quality of life. Addressing these concerns through orthodontic or cosmetic treatments can help you feel more comfortable and confident in your smile.

Here are some ways to build confidence with big front teeth:

  • Embrace Your Smile: Accept and appreciate your unique features, including your big front teeth. A positive attitude can go a long way in boosting your confidence.
  • Seek Professional Help: Consult with a dental professional to address any issues or concerns related to your big front teeth. They can provide personalized treatment options to improve your smile.
  • Practice Good Oral Hygiene: Maintain good oral hygiene to keep your teeth healthy and attractive. Regular brushing, flossing, and dental check-ups can help prevent issues and enhance your smile.
  • Smile Often: Practice smiling regularly to become more comfortable with your appearance. A genuine smile can brighten your day and the days of those around you.

By taking these steps, you can build confidence in your smile and enjoy the benefits of a healthy and attractive set of big front teeth.

Confident Smile with Big Front Teeth

Big front teeth are a prominent feature of your smile that can greatly impact your appearance and self-confidence. Understanding the importance of these teeth, addressing common issues, and maintaining good oral hygiene are essential for a healthy and attractive smile. Whether you choose orthodontic treatment, cosmetic procedures, or simply embrace your unique features, taking care of your big front teeth can enhance your overall well-being and quality of life. By following the tips and practices outlined in this post, you can achieve a beautiful and confident smile that you can be proud of.

Related Terms:

  • big front teeth reshaping
  • big front teeth reddit
  • front teeth too big
  • fixing large front teeth
  • women with big front teeth