Clay Shoveler's Fracture

Clay Shoveler's Fracture

Understanding the intricacies of spinal injuries is crucial for healthcare professionals and individuals alike. One such injury that often goes unnoticed but can have significant implications is the Clay Shoveler's Fracture. This type of fracture involves the spinous processes of the lower cervical or upper thoracic vertebrae, typically resulting from sudden, forceful hyperextension of the neck. This blog post delves into the causes, symptoms, diagnosis, and treatment of Clay Shoveler's Fracture, providing a comprehensive overview for those seeking to understand this condition better.

What is a Clay Shoveler's Fracture?

A Clay Shoveler's Fracture is a specific type of spinal injury that affects the spinous processes of the vertebrae. The term originates from the historical context of shovelers who would lift heavy loads, causing sudden hyperextension of the neck and resulting in this type of fracture. The injury is characterized by a break in the spinous process, which is the bony projection at the back of each vertebra.

Causes of Clay Shoveler's Fracture

The primary cause of a Clay Shoveler's Fracture is a sudden, forceful hyperextension of the neck. This can occur in various scenarios, including:

  • Sports Injuries: Activities that involve sudden, jerky movements of the neck, such as football, rugby, or gymnastics.
  • Motor Vehicle Accidents: Whiplash injuries from car crashes can lead to this type of fracture.
  • Falls: Falling from a height or tripping and landing on the head or neck.
  • Occupational Hazards: Jobs that require repetitive lifting or sudden neck movements, such as construction work or manual labor.

Symptoms of Clay Shoveler's Fracture

The symptoms of a Clay Shoveler's Fracture can vary depending on the severity of the injury. Common symptoms include:

  • Localized Pain: Severe pain in the neck or upper back, often worsening with movement.
  • Tenderness: Tenderness and swelling at the site of the fracture.
  • Limited Range of Motion: Difficulty moving the neck or upper back.
  • Muscle Spasms: Spasms in the neck and shoulder muscles.
  • Neurological Symptoms: In rare cases, there may be neurological symptoms such as numbness, tingling, or weakness in the arms or legs.

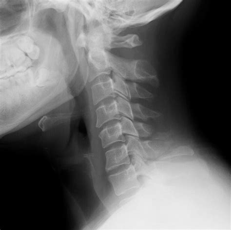
Diagnosis of Clay Shoveler's Fracture

Diagnosing a Clay Shoveler's Fracture involves a combination of physical examination and imaging tests. The diagnostic process typically includes:

  • Medical History: A detailed medical history to understand the mechanism of injury.
  • Physical Examination: Assessment of the neck and back for tenderness, swelling, and range of motion.
  • Imaging Tests:
    • X-rays: To visualize the fracture and assess the extent of the injury.
    • CT Scans: For a more detailed view of the bone structure and to rule out other injuries.
    • MRI Scans: To evaluate soft tissue damage and assess the spinal cord and nerves.

Treatment Options for Clay Shoveler's Fracture

The treatment of a Clay Shoveler's Fracture depends on the severity of the injury and the presence of any neurological symptoms. Treatment options include:

  • Conservative Management:
    • Rest and Immobilization: Using a cervical collar or brace to immobilize the neck and promote healing.
    • Pain Management: Over-the-counter pain relievers or prescription medications to manage pain and inflammation.
    • Physical Therapy: Exercises to improve range of motion, strength, and flexibility.
  • Surgical Intervention: In severe cases or when conservative management fails, surgery may be required to stabilize the spine and promote healing.

Recovery and Rehabilitation

Recovery from a Clay Shoveler's Fracture can take several weeks to months, depending on the severity of the injury. Rehabilitation focuses on:

  • Pain Management: Continuing pain management strategies to ensure comfort during the healing process.
  • Physical Therapy: Gradual return to normal activities with a focus on strengthening the neck and back muscles.
  • Activity Modification: Avoiding activities that may exacerbate the injury until full recovery is achieved.

📝 Note: It is essential to follow the advice of healthcare professionals during the recovery process to ensure proper healing and prevent complications.

Prevention of Clay Shoveler's Fracture

Preventing a Clay Shoveler's Fracture involves taking precautions to avoid sudden, forceful hyperextension of the neck. Some preventive measures include:

  • Proper Technique: Using correct lifting techniques and avoiding sudden, jerky movements.
  • Safety Gear: Wearing appropriate safety gear during sports and occupational activities.
  • Ergonomic Workstations: Ensuring workstations are ergonomically designed to minimize strain on the neck and back.
  • Regular Exercise: Maintaining strong neck and back muscles through regular exercise and stretching.

Common Misconceptions About Clay Shoveler's Fracture

There are several misconceptions surrounding Clay Shoveler's Fracture that can lead to misunderstandings about the condition. Some common misconceptions include:

  • Mild Injury: Many people believe that a Clay Shoveler's Fracture is a minor injury, but it can be quite painful and may require significant time to heal.
  • Immediate Symptoms: Not everyone experiences immediate symptoms after a Clay Shoveler's Fracture. Symptoms may develop over time, making it essential to seek medical attention even if pain is not immediate.
  • Self-Treatment: Some individuals attempt to treat the injury at home without medical supervision, which can lead to complications and delayed healing.

📝 Note: It is crucial to seek medical attention if you suspect a Clay Shoveler's Fracture to ensure proper diagnosis and treatment.

Long-Term Effects and Complications

While many individuals recover fully from a Clay Shoveler's Fracture, there can be long-term effects and complications, especially if the injury is not properly managed. Potential long-term effects include:

  • Chronic Pain: Persistent pain in the neck or upper back.
  • Reduced Range of Motion: Limited mobility in the neck and back.
  • Muscle Weakness: Weakness in the neck and shoulder muscles.
  • Neurological Issues: In rare cases, neurological symptoms such as numbness, tingling, or weakness may persist.

When to Seek Medical Attention

If you experience any of the following symptoms after a neck injury, it is essential to seek immediate medical attention:

  • Severe Pain: Intense pain in the neck or upper back.
  • Neurological Symptoms: Numbness, tingling, or weakness in the arms or legs.
  • Loss of Bowel or Bladder Control: This can indicate a more serious spinal injury.
  • Difficulty Breathing: Shortness of breath or difficulty breathing.

📝 Note: Early intervention can significantly improve the outcome and reduce the risk of long-term complications.

Case Studies and Real-Life Examples

Understanding real-life examples can provide valuable insights into the management and treatment of Clay Shoveler's Fracture. Here are a few case studies:

Case Study Age/Sex Cause of Injury Treatment Outcome
Case 1 35/Male Motor Vehicle Accident Conservative Management Full Recovery
Case 2 28/Female Sports Injury (Gymnastics) Surgical Intervention Partial Recovery with Ongoing Physical Therapy
Case 3 45/Male Occupational Hazard (Construction Work) Conservative Management Full Recovery

These case studies illustrate the diverse causes and treatment options for Clay Shoveler's Fracture, highlighting the importance of individualized care.

In conclusion, a Clay Shoveler’s Fracture is a specific type of spinal injury that can have significant implications if not properly managed. Understanding the causes, symptoms, diagnosis, and treatment options is crucial for healthcare professionals and individuals alike. By taking preventive measures and seeking timely medical attention, the risk of long-term complications can be minimized, ensuring a smoother recovery process.

Related Terms:

  • clay shoveler's fracture radiopaedia
  • clay shoveler's fracture icd 10
  • clay shoveler's fracture mechanism
  • spinous process fracture wikem
  • clay shoveler's fracture orthobullets
  • clay shoveler's fracture cause