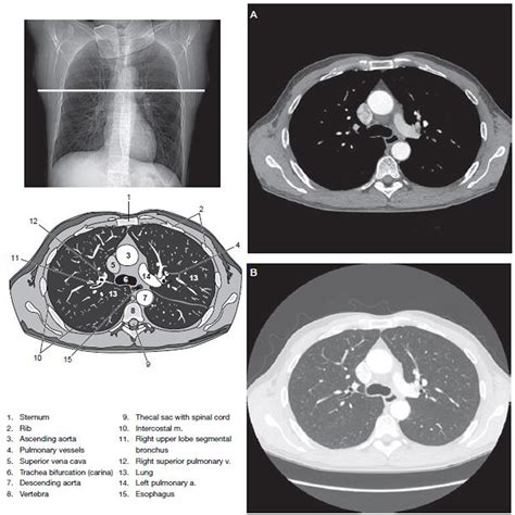
Ct Of Thorax

Ct Of Thorax

Radiology plays a crucial role in modern medicine, providing invaluable insights into the human body's internal structures. Among the various imaging techniques, the CT of thorax stands out as a powerful tool for diagnosing and monitoring conditions affecting the chest. This non-invasive procedure offers detailed images of the lungs, heart, and other thoracic structures, aiding in the detection of a wide range of pathologies.

Understanding the CT of Thorax

A CT of thorax, or computed tomography scan of the chest, uses X-rays and computer technology to create cross-sectional images of the thoracic cavity. These images provide a detailed view of the lungs, heart, blood vessels, and other structures within the chest. The procedure is particularly useful for diagnosing conditions such as lung cancer, pneumonia, and heart disease.

Preparation for a CT of Thorax

Preparing for a CT of thorax involves several steps to ensure accurate results and patient comfort. Here are some key points to consider:

  • Fasting: Patients may be advised to fast for a few hours before the procedure, especially if a contrast dye is to be used.
  • Medications: Inform the healthcare provider about any medications or allergies, as some may need to be adjusted or avoided.
  • Clothing: Wear comfortable clothing without metal objects, as these can interfere with the scan.
  • Contrast Dye: If contrast dye is required, patients may need to drink a solution or receive an injection. This helps to enhance the visibility of certain structures.

It is essential to follow the healthcare provider's instructions carefully to ensure the best possible outcomes.

The CT of Thorax Procedure

The CT of thorax procedure is typically performed in a radiology department. Here is a step-by-step overview of what to expect:

  • Arrival and Registration: Upon arrival, patients will register and provide necessary information.
  • Preparation: Patients may change into a hospital gown and remove any metal objects. If contrast dye is used, it will be administered at this stage.
  • Positioning: The patient will lie on a table that slides into the CT scanner. The table may move during the scan to capture images from different angles.
  • Scanning: The CT scanner rotates around the body, taking multiple X-ray images. Patients may be asked to hold their breath briefly to minimize movement.
  • Completion: The scan usually takes about 10-15 minutes. After the procedure, patients can resume normal activities unless otherwise instructed.

During the scan, it is important to remain still to ensure clear images. The healthcare team will provide instructions and support throughout the procedure.

Interpreting CT of Thorax Results

Interpreting the results of a CT of thorax involves a radiologist reviewing the images to identify any abnormalities. The findings are then communicated to the referring physician, who will discuss them with the patient. Common conditions that can be detected include:

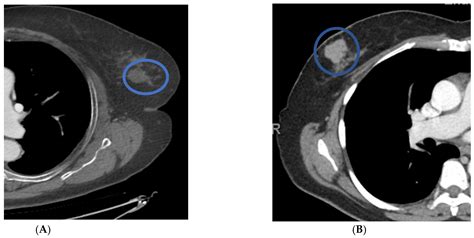
  • Lung Cancer: Early detection of lung nodules or masses.
  • Pneumonia: Identification of infections in the lungs.
  • Heart Disease: Assessment of coronary arteries and heart function.
  • Pulmonary Embolism: Detection of blood clots in the lungs.
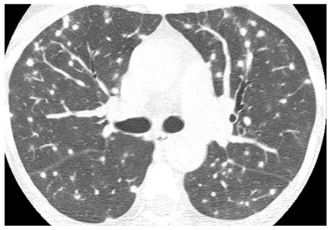
  • Interstitial Lung Disease: Evaluation of lung tissue for conditions like fibrosis.

Radiologists use advanced software to analyze the images, providing detailed reports that guide further treatment and management.

Benefits of CT of Thorax

The CT of thorax offers several benefits that make it a valuable diagnostic tool:

  • Detailed Imaging: Provides high-resolution images of the thoracic structures.
  • Non-Invasive: Minimally invasive procedure with no surgical incisions.
  • Quick Results: Images are available shortly after the scan, allowing for prompt diagnosis.
  • Versatile: Useful for a wide range of conditions affecting the chest.
  • Accurate Diagnosis: Helps in the early detection and accurate diagnosis of various diseases.

These benefits make the CT of thorax a preferred choice for many diagnostic purposes.

Risks and Considerations

While the CT of thorax is generally safe, there are some risks and considerations to be aware of:

  • Radiation Exposure: The procedure involves exposure to ionizing radiation, which can be harmful with repeated or high doses.
  • Contrast Dye Reactions: Some patients may experience allergic reactions to the contrast dye.
  • Cost: The procedure can be expensive, and insurance coverage may vary.

It is important to discuss these risks with a healthcare provider to make an informed decision.

📝 Note: Always inform your healthcare provider about any allergies or medical conditions before undergoing a CT of thorax.

Advanced Techniques in CT of Thorax

Advancements in technology have led to the development of advanced techniques in CT of thorax, enhancing the diagnostic capabilities. Some of these techniques include:

  • High-Resolution CT (HRCT): Provides detailed images of the lung parenchyma, useful for diagnosing interstitial lung diseases.
  • CT Angiography: Uses contrast dye to visualize blood vessels, aiding in the diagnosis of conditions like pulmonary embolism.
  • Low-Dose CT: Reduces radiation exposure while maintaining diagnostic quality, particularly useful for lung cancer screening.
  • Dual-Energy CT: Uses two different energy levels to provide additional information about tissue composition, enhancing diagnostic accuracy.

These advanced techniques offer more precise and detailed imaging, improving the overall diagnostic process.

CT of Thorax in Lung Cancer Screening

One of the most significant applications of the CT of thorax is in lung cancer screening. Early detection of lung cancer can significantly improve survival rates. The procedure is particularly beneficial for individuals at high risk, such as:

  • Smokers: Current or former smokers with a significant smoking history.
  • Exposure to Asbestos: Individuals with occupational exposure to asbestos.
  • Family History: Those with a family history of lung cancer.

Regular screening with a CT of thorax can help detect lung nodules or masses at an early stage, allowing for timely intervention and treatment.

CT of Thorax in Emergency Settings

In emergency settings, the CT of thorax is a crucial tool for rapid diagnosis and management of critical conditions. Some common emergency scenarios include:

  • Trauma: Assessment of chest injuries, such as rib fractures or pneumothorax.
  • Pulmonary Embolism: Detection of blood clots in the lungs, which can be life-threatening.
  • Aortic Dissection: Evaluation of the aorta for tears or dissections.
  • Severe Pneumonia: Identification of extensive lung infections requiring immediate treatment.

The quick and accurate results provided by the CT of thorax are invaluable in emergency situations, guiding immediate medical interventions.

Future Directions in CT of Thorax

The field of radiology is continually evolving, and future directions in CT of thorax hold promise for even more advanced diagnostic capabilities. Some areas of focus include:

  • Artificial Intelligence: Integration of AI algorithms to enhance image analysis and detection of subtle abnormalities.
  • Quantitative Imaging: Development of techniques to quantify tissue characteristics, providing more detailed information about disease progression.
  • Personalized Medicine: Tailoring imaging protocols to individual patient needs, improving diagnostic accuracy and treatment outcomes.
  • Reduced Radiation Dose: Continued efforts to minimize radiation exposure while maintaining high-quality images.

These advancements aim to improve the diagnostic accuracy, efficiency, and safety of the CT of thorax procedure.

In conclusion, the CT of thorax is an indispensable tool in modern medicine, offering detailed and accurate imaging of the thoracic structures. Its applications range from diagnosing lung cancer and pneumonia to assessing heart disease and emergency conditions. With ongoing advancements in technology, the future of CT of thorax holds even greater potential for improving patient care and outcomes. As radiology continues to evolve, the CT of thorax will remain a cornerstone of diagnostic imaging, providing invaluable insights into the complexities of the human body.

Related Terms:

  • ct of thorax vs chest
  • ct of chest
  • ct of thorax anatomy
  • ct thorax meaning
  • ct of thorax with contrast
  • cpt for ct of thorax