Cyst On Liver

Cyst On Liver

Understanding a cyst on liver is crucial for anyone who has been diagnosed with this condition or is seeking information for a loved one. A liver cyst is a fluid-filled sac that develops within the liver tissue. These cysts can vary in size and number, and while many are benign and asymptomatic, some can cause significant health issues if left untreated. This post aims to provide a comprehensive overview of liver cysts, including their causes, symptoms, diagnosis, treatment options, and preventive measures.

Understanding Liver Cysts

A cyst on liver is a common condition that can affect people of all ages. Liver cysts are typically classified into two main types: simple cysts and polycystic liver disease. Simple cysts are usually solitary and benign, while polycystic liver disease involves multiple cysts and can be more complex.

Causes of Liver Cysts

The exact cause of simple liver cysts is often unknown, but they are generally considered congenital, meaning they are present at birth. These cysts develop from abnormal bile duct development during fetal growth. On the other hand, polycystic liver disease is a genetic condition that can be inherited. It is often associated with polycystic kidney disease, where cysts develop in both the liver and kidneys.

Symptoms of Liver Cysts

Many people with a cyst on liver do not experience any symptoms, and the cysts are often discovered incidentally during imaging tests for other conditions. However, when symptoms do occur, they can include:

  • Abdominal pain or discomfort, often in the upper right quadrant
  • A feeling of fullness or bloating
  • Nausea and vomiting
  • Jaundice (yellowing of the skin and eyes)
  • Fever and chills (if the cyst becomes infected)

Symptoms can vary depending on the size and location of the cyst. Larger cysts or those that rupture can cause more severe symptoms.

Diagnosis of Liver Cysts

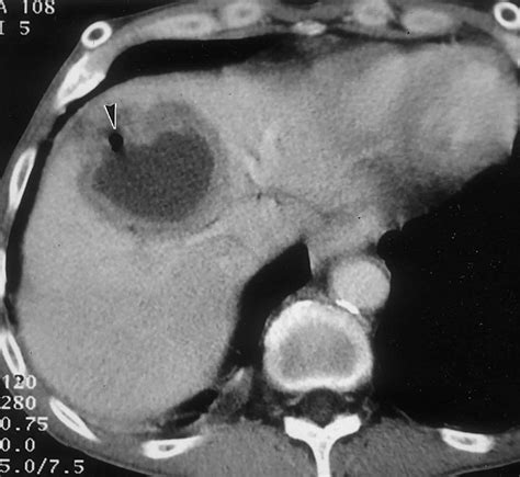
Diagnosing a cyst on liver typically involves a combination of medical history, physical examination, and imaging tests. The most common diagnostic tools include:

  • Ultrasound: This non-invasive test uses sound waves to create images of the liver and can detect the presence of cysts.
  • Computed Tomography (CT) Scan: A CT scan provides detailed images of the liver and can help determine the size and location of the cyst.
  • Magnetic Resonance Imaging (MRI): An MRI offers high-resolution images and can provide more detailed information about the cyst's characteristics.

In some cases, a biopsy may be performed to rule out malignant cysts, although this is less common for simple liver cysts.

Treatment Options for Liver Cysts

The treatment for a cyst on liver depends on the size, symptoms, and overall health of the individual. For many people, no treatment is necessary, and regular monitoring is sufficient. However, if the cyst is causing symptoms or is at risk of complications, various treatment options may be considered:

Observation and Monitoring

For asymptomatic cysts, regular monitoring through imaging tests is often recommended. This approach allows healthcare providers to track any changes in the cyst's size or characteristics over time.

Medications

In some cases, medications may be prescribed to manage symptoms or reduce the size of the cyst. For example, somatostatin analogs may be used to shrink cysts in patients with polycystic liver disease.

Aspiration and Sclerotherapy

For larger cysts that are causing symptoms, aspiration and sclerotherapy may be performed. This procedure involves draining the fluid from the cyst using a needle and then injecting a sclerosing agent to prevent the cyst from refilling with fluid.

Surgical Removal

In severe cases, surgical removal of the cyst may be necessary. This can be done through laparoscopic surgery, which is minimally invasive, or through open surgery, depending on the size and location of the cyst.

Liver Transplant

For patients with polycystic liver disease who have severe symptoms and multiple cysts, a liver transplant may be considered. This is a more invasive option and is typically reserved for cases where other treatments have failed.

πŸ“ Note: The choice of treatment depends on individual circumstances, and it is essential to consult with a healthcare provider to determine the best course of action.

Preventive Measures for Liver Cysts

While there is no guaranteed way to prevent a cyst on liver, especially for those with a genetic predisposition, certain lifestyle choices can help maintain overall liver health. These include:

  • Maintaining a healthy diet rich in fruits, vegetables, and whole grains
  • Limiting alcohol consumption
  • Avoiding exposure to toxins and chemicals
  • Regular exercise and maintaining a healthy weight
  • Getting regular medical check-ups and screenings

For individuals with a family history of polycystic liver disease, genetic counseling may be beneficial to understand the risks and potential preventive measures.

Living with Liver Cysts

Living with a cyst on liver can be manageable, especially if the cyst is small and asymptomatic. Regular follow-ups with a healthcare provider are essential to monitor any changes in the cyst's size or symptoms. It is also important to maintain a healthy lifestyle and follow any recommended treatment plans to minimize the risk of complications.

Support groups and online communities can provide valuable information and emotional support for individuals living with liver cysts. Sharing experiences and learning from others can help manage the condition more effectively.

In some cases, lifestyle adjustments may be necessary to accommodate symptoms. For example, avoiding heavy lifting or strenuous activities that could cause discomfort or rupture the cyst. It is crucial to listen to the body and make adjustments as needed.

Regular communication with healthcare providers is key to managing liver cysts effectively. Any changes in symptoms or concerns should be discussed promptly to ensure appropriate care and treatment.

In summary, a cyst on liver is a condition that can vary in severity and symptoms. Understanding the causes, symptoms, diagnosis, and treatment options is essential for managing this condition effectively. Regular monitoring, a healthy lifestyle, and open communication with healthcare providers can help individuals live comfortably with liver cysts. While there is no guaranteed prevention, maintaining overall liver health through lifestyle choices can be beneficial. For those with genetic predispositions, genetic counseling and regular screenings are crucial steps in managing the condition.

Related Terms:

  • are cysts on liver common
  • liver cysts in women
  • simple cyst on the liver
  • is liver cyst dangerous
  • symptoms of cyst on liver
  • cyst in the liver pictures