Hypertensive Encephalopathy In Children

Hypertensive Encephalopathy In Children

Hypertensive encephalopathy in children is a severe neurological condition that occurs when high blood pressure leads to brain dysfunction. This condition is relatively rare but can be life-threatening if not promptly recognized and treated. Understanding the causes, symptoms, diagnosis, and treatment of hypertensive encephalopathy in children is crucial for healthcare providers and parents alike.

Understanding Hypertensive Encephalopathy

Hypertensive encephalopathy is a medical emergency characterized by a sudden onset of neurological symptoms due to severely elevated blood pressure. In children, this condition can be particularly challenging to diagnose because the symptoms can mimic other neurological disorders. The primary cause of hypertensive encephalopathy is uncontrolled hypertension, which can result from various underlying conditions, including kidney disease, endocrine disorders, and certain medications.

Causes of Hypertensive Encephalopathy in Children

Several factors can contribute to the development of hypertensive encephalopathy in children. Some of the most common causes include:

  • Renal Disease: Conditions such as glomerulonephritis, nephrotic syndrome, and renal artery stenosis can lead to hypertension and subsequent encephalopathy.
  • Endocrine Disorders: Disorders like pheochromocytoma, Cushing's syndrome, and hyperaldosteronism can cause elevated blood pressure.
  • Medications: Certain medications, including corticosteroids and some over-the-counter drugs, can increase blood pressure.
  • Genetic Factors: Some children may have a genetic predisposition to hypertension, which can increase their risk of developing hypertensive encephalopathy.

Symptoms of Hypertensive Encephalopathy in Children

The symptoms of hypertensive encephalopathy in children can vary widely but often include:

  • Headache: Severe and persistent headaches are common.
  • Seizures: Convulsions or seizures can occur due to the brain's response to high blood pressure.
  • Altered Mental Status: Confusion, disorientation, and changes in behavior or consciousness.
  • Visual Disturbances: Blurred vision, double vision, or even temporary blindness.
  • Nausea and Vomiting: These symptoms can accompany the neurological issues.
  • Paralysis or Weakness: In some cases, children may experience weakness or paralysis on one side of the body.

If a child exhibits any of these symptoms, especially in the presence of known hypertension, immediate medical attention is necessary.

Diagnosing Hypertensive Encephalopathy in Children

Diagnosing hypertensive encephalopathy in children involves a comprehensive evaluation that includes:

  • Medical History: A detailed medical history to identify any underlying conditions or recent changes in medication.
  • Physical Examination: A thorough physical exam to assess blood pressure, neurological function, and other vital signs.
  • Laboratory Tests: Blood and urine tests to evaluate kidney function, electrolyte levels, and other markers of underlying conditions.
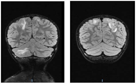
  • Imaging Studies: CT scans or MRI to visualize the brain and detect any abnormalities.
  • Electroencephalogram (EEG): To monitor brain activity and detect any seizure activity.

Early and accurate diagnosis is crucial for initiating appropriate treatment and preventing long-term complications.

Treatment of Hypertensive Encephalopathy in Children

The primary goal of treating hypertensive encephalopathy in children is to rapidly lower blood pressure to a safe level while minimizing the risk of further neurological damage. Treatment strategies may include:

  • Antihypertensive Medications: Drugs such as nitroglycerin, labetalol, and nicardipine are commonly used to lower blood pressure.
  • Intravenous Fluids: To maintain hydration and support organ function.
  • Seizure Control: Antiepileptic drugs may be administered if seizures occur.
  • Supportive Care: Monitoring in an intensive care unit (ICU) to manage symptoms and prevent complications.

It is essential to tailor the treatment plan to the individual needs of the child, considering the underlying cause of hypertension and the severity of symptoms.

Preventing Hypertensive Encephalopathy in Children

Preventing hypertensive encephalopathy in children involves early detection and management of hypertension. Parents and healthcare providers should be vigilant for signs of high blood pressure and take proactive measures to control it. Regular check-ups, a healthy lifestyle, and appropriate medication can help prevent the onset of hypertensive encephalopathy.

Education and awareness about the risks and symptoms of hypertensive encephalopathy are also crucial. Parents should be informed about the importance of monitoring their child's blood pressure, especially if there is a family history of hypertension or other risk factors.

Long-Term Management and Follow-Up

Children who have experienced hypertensive encephalopathy require long-term management and follow-up to prevent recurrence and monitor for any long-term effects. Regular follow-up appointments with a pediatrician or specialist are essential to:

  • Monitor blood pressure and adjust medications as needed.
  • Evaluate kidney function and other organ systems.
  • Assess neurological function and cognitive development.
  • Provide ongoing education and support for the child and family.

Long-term management may also involve lifestyle modifications, such as a balanced diet, regular exercise, and stress management techniques, to help control blood pressure and promote overall health.

📝 Note: Regular follow-up and adherence to the treatment plan are crucial for preventing recurrence and ensuring the best possible outcomes for children with hypertensive encephalopathy.

Hypertensive encephalopathy in children is a serious condition that requires prompt recognition and treatment. By understanding the causes, symptoms, and treatment options, healthcare providers and parents can work together to manage this condition effectively and improve the quality of life for affected children. Early intervention and ongoing management are key to preventing long-term complications and ensuring the best possible outcomes.