Infant Hip Ultrasound

Infant Hip Ultrasound

Understanding the importance of early detection and intervention in pediatric orthopedics, particularly in the context of hip development, is crucial for ensuring the long-term health and mobility of infants. One of the key diagnostic tools in this field is the Infant Hip Ultrasound. This non-invasive imaging technique provides valuable insights into the development of the hip joint, helping healthcare professionals to identify and address potential issues early on.

What is an Infant Hip Ultrasound?

An Infant Hip Ultrasound is a diagnostic procedure that uses high-frequency sound waves to create detailed images of the hip joint in infants. Unlike X-rays, which use radiation, ultrasound is a safe and painless method that does not expose the infant to harmful radiation. This makes it an ideal choice for evaluating the hip joints in young children, especially those who are too young for X-rays.

Why is an Infant Hip Ultrasound Important?

The primary goal of an Infant Hip Ultrasound is to detect developmental dysplasia of the hip (DDH), a condition where the hip joint does not form properly. DDH can range from a shallow acetabulum (the socket part of the hip joint) to a complete dislocation of the femoral head (the ball part of the hip joint). Early detection and treatment of DDH are essential to prevent long-term complications, such as arthritis and limited mobility.

Infants are particularly susceptible to DDH due to the immaturity of their hip joints at birth. Several factors can increase the risk of DDH, including:

  • Family history of hip dysplasia
  • Breech presentation during pregnancy
  • Female gender
  • Firstborn status
  • Swaddling techniques that restrict hip movement

When is an Infant Hip Ultrasound Performed?

An Infant Hip Ultrasound is typically performed within the first few weeks of life, especially for infants who are at higher risk for DDH. The American Academy of Pediatrics recommends that all newborns be screened for DDH during their initial physical examination. If there are any concerns or risk factors present, an ultrasound may be ordered to provide a more detailed assessment.

In some cases, a follow-up ultrasound may be recommended to monitor the development of the hip joint over time. This is particularly important for infants who have been diagnosed with DDH and are undergoing treatment, such as the use of a Pavlik harness or other orthotic devices.

How is an Infant Hip Ultrasound Performed?

The procedure for an Infant Hip Ultrasound is straightforward and typically takes about 15-20 minutes to complete. Here is a step-by-step overview of the process:

  1. The infant is placed on their back on an examination table.
  2. A water-based gel is applied to the area over the hip joint to improve the transmission of sound waves.
  3. A transducer, which emits and receives sound waves, is moved over the hip joint.
  4. The sound waves create images of the hip joint, which are displayed on a monitor.
  5. The healthcare provider analyzes the images to assess the alignment and development of the hip joint.

During the procedure, the infant may be fussy or cry, but the process is generally well-tolerated. Parents are usually allowed to stay with their infant during the ultrasound to provide comfort and support.

📝 Note: It is important to inform the healthcare provider if the infant has any medical conditions or allergies that could affect the procedure.

Interpreting the Results of an Infant Hip Ultrasound

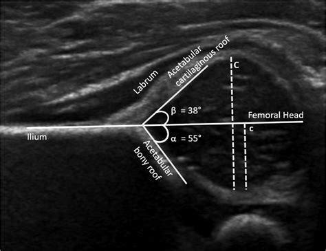
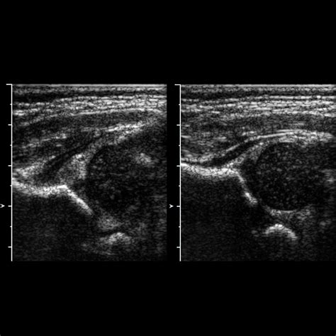
The results of an Infant Hip Ultrasound are interpreted by a radiologist or orthopedic specialist who is trained in pediatric imaging. The images are evaluated for several key factors, including:

  • The shape and depth of the acetabulum
  • The position of the femoral head within the acetabulum
  • The presence of any abnormalities or dislocations

The results are typically categorized into one of the following:

Category Description
Normal The hip joint appears normal with no signs of dysplasia.
Mild Dysplasia The acetabulum is slightly shallow, but the femoral head is still within the socket.
Moderate Dysplasia The acetabulum is more shallow, and the femoral head may be partially dislocated.
Severe Dysplasia The acetabulum is very shallow, and the femoral head is completely dislocated.

Based on the results, the healthcare provider will recommend appropriate treatment options, which may include observation, the use of a Pavlik harness, or other orthotic devices. In some cases, surgical intervention may be necessary to correct severe dysplasia.

Treatment Options for DDH

The treatment for developmental dysplasia of the hip (DDH) depends on the severity of the condition and the age of the infant. Early detection through an Infant Hip Ultrasound allows for more conservative and effective treatment options. Some of the common treatment approaches include:

  • Observation: For mild cases of DDH, regular monitoring and follow-up ultrasounds may be sufficient to ensure proper development of the hip joint.
  • Pavlik Harness: This is a soft brace that holds the hips in a flexed and abducted position, encouraging the femoral head to stay within the acetabulum. It is typically worn for several weeks to months.
  • Other Orthotic Devices: Depending on the severity of the dysplasia, other braces or splints may be used to stabilize the hip joint and promote proper alignment.
  • Closed Reduction: In some cases, a procedure called closed reduction may be performed to manually realign the hip joint under anesthesia. This is followed by the use of a spica cast to maintain the position.
  • Open Reduction: For severe cases of DDH, surgical intervention may be necessary to realign the hip joint. This involves making an incision to access the joint and repositioning the femoral head within the acetabulum.

It is essential to follow the healthcare provider's recommendations for treatment and attend all follow-up appointments to ensure the best possible outcome.

📝 Note: Early intervention is key to successful treatment of DDH. Parents should be vigilant about attending follow-up appointments and adhering to the treatment plan.

Preventing DDH

While not all cases of DDH can be prevented, there are several measures that parents can take to reduce the risk of hip dysplasia in their infants. Some preventive strategies include:

  • Ensuring proper positioning during swaddling to allow for natural hip movement.
  • Avoiding tight swaddling techniques that restrict hip movement.
  • Encouraging tummy time to promote hip and leg strength.
  • Seeking early medical attention if there are any concerns about hip development.

Regular check-ups and screenings during well-child visits can also help detect any potential issues early on, allowing for timely intervention.

Infant Hip Ultrasound is a crucial tool in the early detection and management of developmental dysplasia of the hip. By providing detailed images of the hip joint, this non-invasive procedure enables healthcare professionals to identify and address potential issues promptly. Early intervention is key to preventing long-term complications and ensuring the best possible outcomes for infants with DDH.

Parents play a vital role in the prevention and early detection of DDH. By being aware of the risk factors and seeking regular medical care, they can help ensure their infant's hip development is on track. If there are any concerns or questions about hip development, it is essential to consult with a healthcare provider for guidance and support.

In summary, the Infant Hip Ultrasound is an invaluable diagnostic tool that plays a critical role in the early detection and management of developmental dysplasia of the hip. Through timely intervention and appropriate treatment, infants with DDH can achieve normal hip development and enjoy a lifetime of mobility and activity.

Related Terms:

  • infant hip ultrasound protocol
  • infant hip ultrasound with manipulation
  • infant hip ultrasound radiology
  • abnormal infant hip ultrasound
  • infant hip ultrasound indications
  • infant hip ultrasound normal angles