Intestinal Lymphoma In Dogs

Intestinal Lymphoma In Dogs

Intestinal lymphoma in dogs is a serious and often challenging condition to diagnose and treat. This type of cancer affects the lymphatic system within the intestines, leading to a range of symptoms that can be difficult to pinpoint. Understanding the causes, symptoms, diagnosis, and treatment options for intestinal lymphoma in dogs is crucial for pet owners and veterinarians alike. This comprehensive guide aims to provide detailed information on this condition, helping you navigate the complexities of intestinal lymphoma in dogs.

Understanding Intestinal Lymphoma in Dogs

Intestinal lymphoma in dogs is a form of cancer that originates in the lymphatic tissue of the intestines. The lymphatic system plays a vital role in the body's immune response, and when it becomes cancerous, it can significantly impact a dog's health. This type of lymphoma is part of a broader category known as gastrointestinal lymphoma, which can affect various parts of the digestive system.

Lymphoma is generally classified into two main types: B-cell and T-cell lymphoma. B-cell lymphoma is more common and tends to be more responsive to treatment. T-cell lymphoma, on the other hand, is less common but often more aggressive and challenging to treat. Intestinal lymphoma can occur in any breed of dog, but certain breeds, such as Boxers, Bulldogs, and Basset Hounds, may be more predisposed to this condition.

Causes of Intestinal Lymphoma in Dogs

The exact causes of intestinal lymphoma in dogs are not fully understood, but several factors are believed to contribute to its development. These include:

  • Genetic predisposition: Certain breeds may have a genetic predisposition to developing lymphoma.
  • Immune system dysfunction: Dogs with compromised immune systems may be more susceptible to lymphoma.
  • Environmental factors: Exposure to certain toxins, chemicals, or viruses may increase the risk of developing lymphoma.
  • Aging: Older dogs are more likely to develop lymphoma, as the immune system weakens with age.

Symptoms of Intestinal Lymphoma in Dogs

The symptoms of intestinal lymphoma in dogs can vary widely and may be similar to those of other gastrointestinal disorders. Common symptoms include:

  • Weight loss: Unexplained weight loss is a common symptom of intestinal lymphoma.
  • Loss of appetite: Dogs with intestinal lymphoma may experience a decreased appetite.
  • Vomiting and diarrhea: Persistent vomiting and diarrhea can indicate intestinal lymphoma.
  • Abdominal pain: Dogs may exhibit signs of abdominal discomfort or pain.
  • Lethargy: A general lack of energy and enthusiasm is often observed.
  • Blood in stool: The presence of blood in the stool can be a sign of intestinal lymphoma.

If your dog exhibits any of these symptoms, it is essential to consult a veterinarian for a thorough evaluation. Early detection and diagnosis can significantly improve the prognosis for dogs with intestinal lymphoma.

Diagnosing Intestinal Lymphoma in Dogs

Diagnosing intestinal lymphoma in dogs involves a combination of clinical examinations, diagnostic tests, and imaging studies. The diagnostic process typically includes the following steps:

  • Physical examination: A thorough physical exam helps the veterinarian assess the dog's overall health and identify any abnormalities.
  • Blood tests: Blood tests can provide valuable information about the dog's immune system and overall health.
  • Fecal analysis: Examining the dog's stool can help identify any underlying gastrointestinal issues.
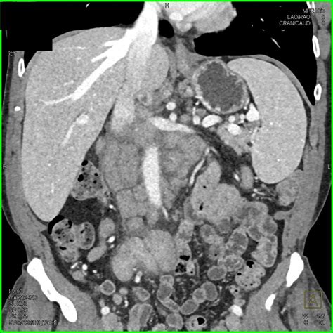
  • Imaging studies: X-rays, ultrasounds, and CT scans can help visualize the intestines and detect any abnormalities.
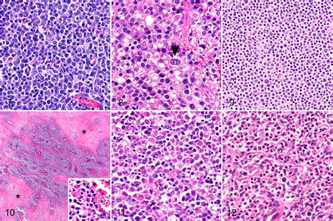
  • Endoscopy: An endoscope can be used to examine the intestinal lining and obtain tissue samples for biopsy.
  • Biopsy: A biopsy of the affected tissue is often necessary to confirm the diagnosis of intestinal lymphoma.

Once a diagnosis of intestinal lymphoma is confirmed, the veterinarian will determine the stage and grade of the cancer. This information is crucial for developing an effective treatment plan.

๐Ÿ“ Note: The diagnostic process for intestinal lymphoma in dogs can be complex and may require multiple tests and consultations with specialists.

Treatment Options for Intestinal Lymphoma in Dogs

The treatment of intestinal lymphoma in dogs depends on the stage and grade of the cancer, as well as the dog's overall health. Common treatment options include:

  • Chemotherapy: Chemotherapy is often the primary treatment for intestinal lymphoma. It involves the use of drugs to kill cancer cells and slow the progression of the disease.
  • Radiation therapy: In some cases, radiation therapy may be used to target specific areas of the intestines affected by lymphoma.
  • Surgery: Surgical removal of affected tissue may be necessary in some cases, although it is less common for intestinal lymphoma.
  • Immunotherapy: Immunotherapy involves using the dog's immune system to fight the cancer cells. This treatment option is still being researched but shows promise for certain types of lymphoma.
  • Supportive care: Supportive care, including nutritional support, pain management, and hydration, is essential for maintaining the dog's quality of life during treatment.

It is important to note that the treatment of intestinal lymphoma in dogs can be challenging and may require a multidisciplinary approach. Working closely with a veterinarian and a veterinary oncologist can help ensure the best possible outcome for your dog.

๐Ÿ“ Note: The treatment of intestinal lymphoma in dogs can be expensive and may require multiple visits to the veterinarian. It is essential to discuss the financial implications with your veterinarian and explore all available options.

Prognosis and Quality of Life

The prognosis for dogs with intestinal lymphoma varies depending on the stage and grade of the cancer, as well as the dog's response to treatment. In general, dogs with B-cell lymphoma tend to have a better prognosis than those with T-cell lymphoma. The average survival time for dogs with intestinal lymphoma can range from a few months to several years, depending on the individual case.

Maintaining a high quality of life for dogs with intestinal lymphoma is a priority. This involves managing symptoms, providing supportive care, and monitoring the dog's health closely. Regular follow-up appointments with the veterinarian are essential for assessing the dog's response to treatment and making any necessary adjustments to the treatment plan.

It is also important to consider the emotional and psychological well-being of the dog. Providing a comfortable and stress-free environment can help improve the dog's overall quality of life.

Nutritional Support for Dogs with Intestinal Lymphoma

Nutritional support plays a crucial role in the management of intestinal lymphoma in dogs. A balanced and nutritious diet can help support the dog's immune system, promote healing, and maintain overall health. Key considerations for nutritional support include:

  • High-quality protein: Protein is essential for maintaining muscle mass and supporting the immune system. Choose high-quality protein sources such as chicken, fish, or eggs.
  • Easily digestible carbohydrates: Carbohydrates provide energy and should be easily digestible to minimize gastrointestinal discomfort.
  • Healthy fats: Fats provide energy and support the absorption of fat-soluble vitamins. Choose healthy fat sources such as fish oil or flaxseed oil.
  • Vitamins and minerals: A balanced diet should include essential vitamins and minerals to support overall health and immune function.
  • Hydration: Ensuring adequate hydration is crucial for maintaining gastrointestinal health and supporting the body's natural detoxification processes.

Consulting with a veterinary nutritionist can help develop a tailored dietary plan for dogs with intestinal lymphoma. This plan should be adjusted based on the dog's individual needs and response to treatment.

๐Ÿ“ Note: It is important to avoid feeding dogs with intestinal lymphoma foods that are difficult to digest or may cause gastrointestinal discomfort. Consult with your veterinarian before making any changes to your dog's diet.

Monitoring and Follow-Up Care

Regular monitoring and follow-up care are essential for managing intestinal lymphoma in dogs. This involves:

  • Regular veterinary check-ups: Schedule regular appointments with your veterinarian to monitor your dog's health and assess the effectiveness of treatment.
  • Blood tests and imaging studies: Periodic blood tests and imaging studies can help detect any changes in the dog's condition and guide treatment decisions.
  • Symptom management: Work closely with your veterinarian to manage symptoms and provide supportive care as needed.
  • Diet and nutrition: Continue to provide a balanced and nutritious diet to support your dog's overall health and immune function.

By staying proactive and attentive to your dog's needs, you can help ensure the best possible outcome and maintain a high quality of life.

Below is a table outlining the key aspects of monitoring and follow-up care for dogs with intestinal lymphoma:

Aspect Frequency Purpose
Veterinary check-ups Every 4-6 weeks Assess overall health and treatment effectiveness
Blood tests Every 3-4 months Monitor blood cell counts and organ function
Imaging studies Every 6-12 months Detect changes in the intestines and other organs
Symptom management As needed Provide supportive care and manage symptoms
Diet and nutrition Ongoing Support overall health and immune function

Regular follow-up care is essential for managing intestinal lymphoma in dogs and ensuring the best possible outcome. By staying proactive and attentive to your dog's needs, you can help maintain a high quality of life and improve the prognosis for your furry companion.

๐Ÿ“ Note: The frequency of follow-up care may vary depending on the individual dog's condition and response to treatment. Consult with your veterinarian to develop a personalized follow-up plan.

In conclusion, intestinal lymphoma in dogs is a complex and challenging condition that requires a comprehensive approach to diagnosis, treatment, and management. By understanding the causes, symptoms, and treatment options for intestinal lymphoma, pet owners can play an active role in their dogโ€™s care and improve the prognosis. Regular monitoring, supportive care, and a balanced diet are essential for maintaining a high quality of life for dogs with intestinal lymphoma. Working closely with a veterinarian and a veterinary oncologist can help ensure the best possible outcome for your furry companion.

Related Terms:

  • early stage lymphoma in dogs
  • intestinal lymphoma dog prognosis
  • primary intestinal lymphoma in dogs
  • final stages of dog lymphoma
  • final stages of canine lymphoma
  • 5 stages of canine lymphoma