Intussusception On Ultrasound

Intussusception On Ultrasound

Intussusception is a serious medical condition where one segment of the intestine slides into another, causing a blockage. Early and accurate diagnosis is crucial for effective treatment. Ultrasound imaging has emerged as a valuable tool in the diagnosis of intussusception, offering several advantages over other imaging modalities. This post delves into the significance of intussusception on ultrasound, the diagnostic process, and the role of ultrasound in managing this condition.

Understanding Intussusception

Intussusception occurs when a segment of the intestine telescopes into an adjacent segment, leading to obstruction and potential ischemia. This condition is more common in infants and young children but can also affect adults. The most frequent site of intussusception is the ileocecal region, where the ileum (the final section of the small intestine) invaginates into the cecum (the beginning of the large intestine).

Symptoms of Intussusception

Recognizing the symptoms of intussusception is the first step in seeking appropriate medical care. Common symptoms include:

  • Abdominal pain, often severe and intermittent
  • Vomiting
  • Bloody stools (currant jelly stools)
  • Lethargy and irritability
  • Abdominal mass or distension

The Role of Ultrasound in Diagnosing Intussusception

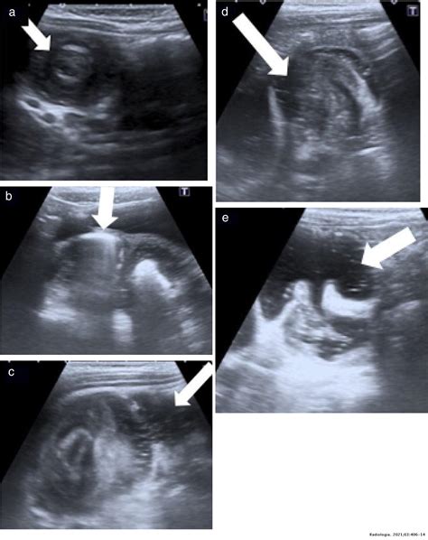
Ultrasound imaging is a non-invasive and readily available diagnostic tool that plays a pivotal role in the detection of intussusception on ultrasound. It provides real-time images of the abdomen, allowing physicians to visualize the intestinal layers and identify the characteristic "target" or "doughnut" sign, which is indicative of intussusception.

Advantages of Ultrasound for Intussusception Diagnosis

Ultrasound offers several advantages over other imaging modalities, such as X-rays and CT scans:

  • Non-invasive: Ultrasound does not involve radiation, making it safe for children and pregnant women.
  • Real-time imaging: Ultrasound provides immediate visual feedback, allowing for dynamic assessment of the intestine.
  • Cost-effective: Ultrasound is generally less expensive than other imaging techniques.
  • Portable: Ultrasound machines are portable, enabling bedside examinations in emergency settings.

Ultrasound Findings in Intussusception

When performing an ultrasound to detect intussusception on ultrasound, radiologists look for specific signs that indicate the presence of intussusception. These signs include:

  • Target or doughnut sign: This appears as concentric rings of alternating hypoechoic and hyperechoic layers, representing the invaginated intestine.
  • Pseudo-kidney sign: This sign is seen when the intussusceptum (the invaginated segment) appears as a hypoechoic mass with a hyperechoic rim, resembling a kidney.
  • Crescent-in-doughnut sign: This sign is observed when there is a crescent-shaped hypoechoic area within the doughnut sign, indicating the presence of mesenteric fat.

Ultrasound Technique for Detecting Intussusception

Performing an ultrasound to detect intussusception on ultrasound involves several steps:

  • Patient Preparation: The patient is positioned supine, and the abdomen is exposed for examination.
  • Transducer Selection: A high-frequency linear or curved transducer is typically used for better resolution of the intestinal layers.
  • Scanning Technique: The transducer is moved systematically over the abdomen, starting from the right lower quadrant and moving towards the left upper quadrant. The radiologist looks for the characteristic signs of intussusception.
  • Dynamic Assessment: The radiologist may apply gentle pressure with the transducer to assess the mobility and compressibility of the suspected intussusception.

📌 Note: The use of color Doppler ultrasound can help differentiate between viable and non-viable intussusception by assessing blood flow to the affected segment.

Differential Diagnosis

While ultrasound is highly sensitive and specific for detecting intussusception on ultrasound, it is essential to consider other conditions that may present with similar symptoms. These include:

  • Appendicitis
  • Gastroenteritis
  • Meckel's diverticulum
  • Inflammatory bowel disease
  • Intestinal obstruction due to other causes

Management of Intussusception

Once intussusception on ultrasound is confirmed, prompt management is crucial to prevent complications such as bowel ischemia and perforation. The primary treatment options include:

  • Non-surgical Reduction: This involves the use of air or contrast enema to reduce the intussusception. Ultrasound guidance can be used to monitor the procedure and assess its success.
  • Surgical Reduction: In cases where non-surgical reduction is unsuccessful or contraindicated, surgical intervention may be necessary. Surgery involves manual reduction of the intussusception or resection of the affected segment if it is non-viable.

Follow-Up and Prognosis

After successful reduction of intussusception, follow-up ultrasound examinations may be performed to ensure complete resolution and to monitor for any recurrence. The prognosis for intussusception is generally good, especially when diagnosed and treated promptly. However, complications such as bowel perforation, ischemia, and sepsis can occur if treatment is delayed.

Prevention and Awareness

While intussusception cannot always be prevented, awareness of the condition and its symptoms can lead to earlier diagnosis and treatment. Parents and caregivers should be educated about the signs of intussusception, particularly in infants and young children. Prompt medical attention is essential to prevent serious complications.

In summary, ultrasound imaging is a valuable tool in the diagnosis of intussusception, offering real-time, non-invasive visualization of the intestinal layers. The characteristic signs of intussusception on ultrasound, such as the target or doughnut sign, enable radiologists to make an accurate diagnosis. Prompt management, including non-surgical or surgical reduction, is crucial for a favorable outcome. Awareness of the symptoms and the role of ultrasound in diagnosis can help improve the prognosis for patients with intussusception.

Related Terms:

  • intussusception ultrasound worksheet
  • intussusception vs appendicitis ultrasound
  • intussusception ultrasound images protocol
  • intussusception ultrasound age
  • target sign in intussusception
  • intussusception ultrasound target sign