Lingula Of Left Lung

Lingula Of Left Lung

The human body is a complex and intricate system, with each organ playing a crucial role in maintaining overall health. Among the various structures within the respiratory system, the lingula of the left lung is a unique and often overlooked component. Understanding the anatomy, function, and clinical significance of the lingula of the left lung can provide valuable insights into respiratory health and related medical conditions.

Anatomy of the Lingula of the Left Lung

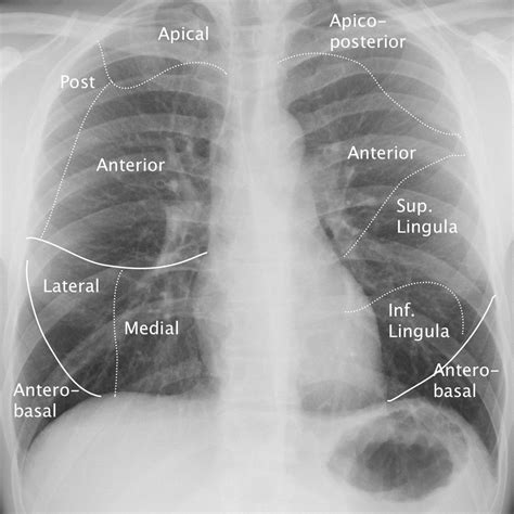
The lingula is a small, tongue-shaped lobe located in the left lung. It is part of the upper lobe of the left lung and is situated in the anterior and superior segments. The lingula is unique to the left lung and is not present in the right lung. This anatomical difference is due to the presence of the heart, which shifts the left lung slightly to accommodate its position.

The lingula is further divided into two segments:

  • Superior segment of the lingula: This segment is located above the inferior segment and is responsible for a portion of the upper lobe's function.
  • Inferior segment of the lingula: This segment is located below the superior segment and contributes to the lower part of the upper lobe's function.

The lingula is supplied by the lingular artery, a branch of the left pulmonary artery, and is drained by the lingular vein, which empties into the left pulmonary vein. The bronchial arteries also supply blood to the lingula, ensuring adequate oxygenation and nutrient supply.

Function of the Lingula of the Left Lung

The primary function of the lingula, like other parts of the lung, is to facilitate gas exchange. The lingula contains numerous alveoli, which are tiny air sacs where oxygen and carbon dioxide are exchanged between the air and the bloodstream. This process is essential for maintaining the body's oxygen levels and removing waste gases.

Additionally, the lingula plays a role in protecting the heart and other vital structures in the thoracic cavity. Its position near the heart allows it to act as a buffer, absorbing impacts and reducing the risk of injury to the heart and other organs.

Clinical Significance of the Lingula of the Left Lung

The lingula of the left lung can be affected by various respiratory conditions, making it an important area of focus in pulmonary medicine. Some of the key clinical considerations related to the lingula include:

Infections

Infections such as pneumonia can affect the lingula, leading to inflammation and impaired gas exchange. Bacterial, viral, and fungal infections can all target the lingula, causing symptoms such as cough, fever, and shortness of breath. Prompt diagnosis and treatment are essential to prevent complications and ensure a full recovery.

Tumors

Tumors, both benign and malignant, can develop in the lingula. Lung cancer, in particular, can originate in the lingula and spread to other parts of the lung or distant organs. Early detection through imaging studies and biopsy is crucial for effective treatment and improved outcomes.

Pulmonary Embolism

A pulmonary embolism occurs when a blood clot travels to the lungs and blocks a pulmonary artery. The lingula can be affected by a pulmonary embolism, leading to symptoms such as chest pain, shortness of breath, and rapid heart rate. Immediate medical attention is necessary to dissolve the clot and restore blood flow.

Lingular Pneumonia

Lingular pneumonia is a specific type of pneumonia that affects the lingula. It is often caused by bacterial infections and can lead to severe respiratory distress if not treated promptly. Symptoms may include cough, fever, chest pain, and difficulty breathing. Treatment typically involves antibiotics and supportive care.

Lingular Bronchiectasis

Bronchiectasis is a condition characterized by the permanent widening of the bronchi, leading to chronic inflammation and infection. When bronchiectasis affects the lingula, it can cause recurrent respiratory infections, cough, and sputum production. Management involves antibiotics, airway clearance techniques, and sometimes surgical intervention.

Diagnostic Techniques for Evaluating the Lingula of the Left Lung

Several diagnostic techniques are used to evaluate the lingula of the left lung and detect any abnormalities. These techniques include:

Chest X-ray

A chest X-ray is a common imaging study used to visualize the lungs and detect any abnormalities. While it may not provide detailed views of the lingula, it can help identify larger lesions or infections.

Computed Tomography (CT) Scan

A CT scan provides more detailed images of the lungs, including the lingula. It can detect small lesions, infections, and other abnormalities that may not be visible on a chest X-ray. CT scans are often used to guide further diagnostic procedures, such as biopsies.

Magnetic Resonance Imaging (MRI)

MRI is another imaging technique that can provide detailed views of the lungs and surrounding structures. It is particularly useful for evaluating soft tissue abnormalities and can help differentiate between benign and malignant lesions.

Bronchoscopy

Bronchoscopy is a procedure in which a flexible tube with a camera is inserted into the airways to visualize the lungs directly. It can be used to obtain tissue samples for biopsy and to evaluate the lingula for any abnormalities.

Pulmonary Function Tests

Pulmonary function tests measure the lung's capacity and efficiency in gas exchange. These tests can help assess the overall function of the lungs, including the lingula, and detect any impairments in respiratory function.

Treatment for conditions affecting the lingula of the left lung depends on the underlying cause and severity of the symptoms. Common treatment options include:

Medications

Medications such as antibiotics, antivirals, and antifungals are used to treat infections affecting the lingula. Bronchodilators and corticosteroids may be prescribed to manage inflammation and improve airflow.

Surgery

Surgical intervention may be necessary for conditions such as lung cancer or severe bronchiectasis. Procedures such as lobectomy (removal of the affected lobe) or segmentectomy (removal of the affected segment) may be performed to remove the diseased tissue and prevent further complications.

Supportive Care

Supportive care, including oxygen therapy, chest physiotherapy, and pulmonary rehabilitation, can help manage symptoms and improve respiratory function. These interventions are often used in conjunction with other treatments to enhance overall outcomes.

Preventive Measures for Lingula Health

Maintaining the health of the lingula and the lungs in general involves several preventive measures. These include:

  • Regular Exercise: Engaging in regular physical activity helps improve lung function and overall respiratory health.
  • Avoiding Smoking: Smoking is a major risk factor for lung diseases, including those affecting the lingula. Quitting smoking can significantly reduce the risk of respiratory conditions.
  • Vaccinations: Getting vaccinated against respiratory infections, such as pneumonia and influenza, can help prevent infections that may affect the lingula.
  • Healthy Diet: Consuming a balanced diet rich in fruits, vegetables, and lean proteins can support overall health and immune function.
  • Regular Check-ups: Regular medical check-ups and screenings can help detect any abnormalities in the lungs early, allowing for prompt treatment and better outcomes.

📝 Note: It is important to consult with a healthcare provider for personalized advice on maintaining lung health and preventing respiratory conditions.

In conclusion, the lingula of the left lung is a critical component of the respiratory system, playing a vital role in gas exchange and protecting vital structures in the thoracic cavity. Understanding its anatomy, function, and clinical significance can help in the early detection and effective management of various respiratory conditions. By adopting preventive measures and seeking timely medical attention, individuals can maintain the health of the lingula and overall respiratory well-being.

Related Terms:

  • lung lingula location
  • left lung anatomy lingula
  • anatomical position of the lungs
  • 5 functions of lungs
  • lingula diagram
  • where is lingula located