Medial Patellofemoral Ligament

Medial Patellofemoral Ligament

The knee is a complex joint that plays a crucial role in our daily activities, from walking and running to jumping and squatting. One of the key structures that contribute to the stability and proper functioning of the knee is the Medial Patellofemoral Ligament (MPFL). This ligament is essential for maintaining the alignment of the patella (kneecap) and preventing it from dislocating. Understanding the MPFL, its function, and common issues associated with it can help individuals better manage knee health and seek appropriate treatment when necessary.

Understanding the Medial Patellofemoral Ligament

The MPFL is a thin, fibrous band that connects the medial (inner) side of the patella to the medial femoral condyle, which is the rounded part of the femur (thighbone) that articulates with the tibia (shinbone). The primary function of the MPFL is to stabilize the patella, keeping it aligned within the trochlear groove of the femur. This alignment is crucial for the smooth and efficient movement of the knee joint.

The MPFL works in conjunction with other structures, including the vastus medialis obliquus (VMO) muscle, the lateral patellofemoral ligament, and the medial patellotibial ligament, to provide comprehensive stability to the patella. The VMO, in particular, plays a significant role in dynamic stabilization by contracting to pull the patella medially during knee extension.

Common Issues Associated with the MPFL

Injuries and dysfunctions related to the MPFL are relatively common, particularly among athletes and individuals who engage in activities that involve sudden changes in direction or high-impact movements. Some of the most common issues associated with the MPFL include:

  • Patellar Dislocation: This occurs when the patella slips out of the trochlear groove, often to the lateral (outer) side of the knee. The MPFL is typically torn or stretched during a patellar dislocation, leading to instability and recurrent dislocations.
  • Patellar Instability: This condition refers to the patella's tendency to dislocate or subluxate (partially dislocate) repeatedly. It can be caused by a weak or damaged MPFL, as well as other factors such as muscle imbalances, malalignment of the lower extremity, or a shallow trochlear groove.
  • MPFL Tears: These can occur due to trauma, such as a direct blow to the knee or a sudden twisting motion. MPFL tears can range from partial to complete and may require surgical intervention depending on the severity.

Diagnosing MPFL Injuries

Diagnosing injuries related to the MPFL typically involves a combination of clinical evaluation, imaging studies, and, in some cases, specialized tests. Here are the key steps involved in diagnosing MPFL injuries:

  • Clinical Evaluation: A healthcare professional will assess the knee's range of motion, stability, and any signs of swelling or tenderness. They may also perform specific tests, such as the apprehension test, to evaluate patellar stability.
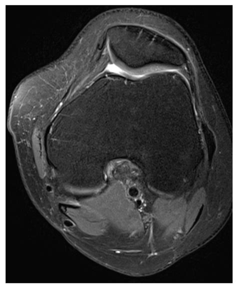
  • Imaging Studies: X-rays, MRI, and CT scans can provide detailed images of the knee joint, helping to identify any structural abnormalities, fractures, or soft tissue injuries. MRI is particularly useful for visualizing the MPFL and other ligaments.
  • Specialized Tests: In some cases, additional tests such as arthroscopy may be performed to directly visualize the knee joint and assess the condition of the MPFL and other structures.

📝 Note: Early and accurate diagnosis of MPFL injuries is crucial for effective treatment and prevention of long-term complications.

Treatment Options for MPFL Injuries

The treatment of MPFL injuries depends on the severity of the injury, the patient's age, activity level, and overall health. Treatment options can be broadly categorized into non-surgical and surgical approaches.

Non-Surgical Treatment

Non-surgical treatment is often the first line of defense for MPFL injuries, particularly for mild to moderate cases. Common non-surgical treatments include:

  • Rest, Ice, Compression, and Elevation (RICE): This approach helps to reduce pain and swelling in the acute phase of the injury.
  • Physical Therapy: A structured physical therapy program can help strengthen the muscles around the knee, improve flexibility, and restore proper patellar tracking. Exercises may include quadriceps strengthening, VMO activation, and proprioceptive training.
  • Bracing: A patellar stabilization brace can provide additional support to the knee, helping to prevent further dislocations or subluxations.
  • Medications: Over-the-counter pain relievers and anti-inflammatory medications can help manage pain and reduce inflammation.

Surgical Treatment

Surgical intervention may be necessary for severe MPFL injuries, recurrent patellar dislocations, or cases where non-surgical treatments have failed. Common surgical procedures for MPFL injuries include:

  • MPFL Reconstruction: This procedure involves reconstructing the MPFL using a graft, typically from the patient's own tissue (autograft) or a donor (allograft). The graft is attached to the medial side of the patella and the medial femoral condyle to restore stability.
  • MPFL Repair: In cases where the MPFL is partially torn, a repair may be performed to reattach the torn ends of the ligament. This is less common than reconstruction and is typically reserved for acute injuries.
  • Tibial Tubercle Osteotomy: This procedure involves realigning the patellar tendon by moving the tibial tubercle (the bony prominence on the tibia where the patellar tendon attaches). It is often performed in conjunction with MPFL reconstruction to address underlying malalignment issues.

📝 Note: Surgical treatment for MPFL injuries should be performed by an experienced orthopedic surgeon to ensure the best possible outcomes.

Rehabilitation and Recovery

Rehabilitation and recovery are critical components of the treatment process for MPFL injuries. A well-structured rehabilitation program can help patients regain strength, flexibility, and function in the affected knee. Key aspects of rehabilitation include:

  • Early Phase: Focuses on reducing pain and swelling, restoring range of motion, and initiating gentle exercises to promote healing. This phase typically lasts 2-4 weeks.
  • Intermediate Phase: Involves progressive strengthening and proprioceptive exercises to improve knee stability and control. This phase can last 4-8 weeks.
  • Advanced Phase: Aims to restore full function and return to pre-injury activities. This phase includes sport-specific training and functional exercises.

Physical therapy plays a crucial role in the rehabilitation process, with a therapist guiding the patient through a tailored exercise program. Regular follow-ups with the healthcare provider are essential to monitor progress and make any necessary adjustments to the treatment plan.

Preventing MPFL Injuries

Preventing MPFL injuries involves a combination of proper conditioning, technique, and awareness. Here are some strategies to help reduce the risk of MPFL injuries:

  • Strengthening Exercises: Focus on strengthening the muscles around the knee, particularly the quadriceps and hamstrings. Exercises such as squats, lunges, and leg presses can help improve overall knee stability.
  • Flexibility Training: Incorporate stretching exercises to maintain flexibility in the hip, knee, and ankle joints. Tight muscles can contribute to patellar malalignment and increase the risk of injury.
  • Proper Technique: Use correct technique during physical activities, especially those involving sudden changes in direction or high-impact movements. This includes proper landing techniques and avoiding excessive valgus (knock-kneed) positioning.
  • Warm-Up and Cool-Down: Always include a thorough warm-up and cool-down routine before and after physical activities to prepare the muscles and joints for exercise and promote recovery.

For individuals with a history of patellar instability or MPFL injuries, it may be beneficial to wear a patellar stabilization brace during high-risk activities to provide additional support and prevent recurrent dislocations.

📝 Note: Consulting with a healthcare professional or physical therapist can help develop a personalized prevention plan tailored to individual needs and risk factors.

Conclusion

The Medial Patellofemoral Ligament (MPFL) plays a vital role in maintaining the stability and proper functioning of the knee joint. Understanding the anatomy, function, and common issues associated with the MPFL can help individuals better manage knee health and seek appropriate treatment when necessary. Whether through non-surgical or surgical interventions, a comprehensive approach to diagnosis, treatment, and rehabilitation is essential for optimal outcomes. By incorporating preventive measures and maintaining overall knee health, individuals can reduce the risk of MPFL injuries and enjoy an active, pain-free lifestyle.

Related Terms:

  • medial patellofemoral ligament protocol
  • medial patellofemoral ligament reconstruction
  • medial patellofemoral ligament attachment
  • medial patellofemoral ligament mri
  • medial patellofemoral ligament tear treatment
  • medial patellofemoral ligament vs retinaculum