Mri Fusion Prostate Biopsy

Mri Fusion Prostate Biopsy

Prostate cancer is one of the most common types of cancer among men, and early detection is crucial for effective treatment. One of the advanced techniques used for diagnosing prostate cancer is the MRI Fusion Prostate Biopsy. This method combines magnetic resonance imaging (MRI) with ultrasound-guided biopsy to provide a more accurate and targeted approach to prostate cancer detection.

Understanding MRI Fusion Prostate Biopsy

MRI Fusion Prostate Biopsy is a cutting-edge procedure that integrates MRI images with real-time ultrasound guidance. This fusion technology allows urologists to precisely target suspicious areas within the prostate gland, which may not be detectable through traditional biopsy methods. The process involves several key steps, each contributing to the overall accuracy and effectiveness of the procedure.

Preparation for MRI Fusion Prostate Biopsy

Before undergoing an MRI Fusion Prostate Biopsy, patients typically go through a series of preparatory steps to ensure the procedure is safe and effective. These steps include:

  • Consultation with a urologist to discuss medical history and any current medications.
  • An initial MRI scan to identify any suspicious areas within the prostate.
  • Pre-procedure instructions, such as fasting and stopping certain medications that may interfere with the biopsy.

It is essential to follow these instructions carefully to minimize risks and ensure the best possible outcomes.

The MRI Fusion Prostate Biopsy Procedure

The MRI Fusion Prostate Biopsy procedure involves several stages, each crucial for accurate diagnosis. Here is a detailed overview of the process:

Initial MRI Scan

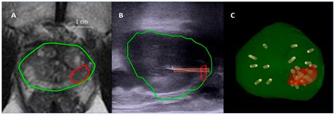
The first step is an MRI scan, which provides high-resolution images of the prostate gland. This scan helps identify any suspicious lesions or areas that may indicate the presence of cancer. The MRI images are then used to create a 3D map of the prostate, which will guide the biopsy procedure.

Fusion of MRI and Ultrasound Images

During the biopsy, the MRI images are fused with real-time ultrasound images. This fusion allows the urologist to see the suspicious areas identified on the MRI in real-time, ensuring precise targeting during the biopsy. The fusion technology enhances the accuracy of the procedure, reducing the risk of missing cancerous tissue.

Biopsy Procedure

The biopsy itself is performed using a transrectal ultrasound (TRUS) probe. The urologist inserts the probe into the rectum and uses the fused images to guide the biopsy needle to the targeted areas. Multiple samples are taken from the suspicious lesions and surrounding tissue to ensure a comprehensive analysis.

Post-Procedure Care

After the biopsy, patients are monitored for any signs of complications, such as bleeding or infection. Most patients can return home the same day, but it is essential to follow post-procedure instructions, including rest and avoiding strenuous activities for a few days.

📝 Note: Patients should inform their healthcare provider if they experience any unusual symptoms, such as fever, chills, or severe pain, after the procedure.

Benefits of MRI Fusion Prostate Biopsy

MRI Fusion Prostate Biopsy offers several advantages over traditional biopsy methods. Some of the key benefits include:

  • Improved Accuracy: The fusion of MRI and ultrasound images allows for more precise targeting of suspicious areas, reducing the risk of false negatives.
  • Reduced Sampling Error: By targeting specific lesions, the procedure minimizes the number of unnecessary biopsies, reducing patient discomfort and potential complications.
  • Enhanced Detection: MRI Fusion Prostate Biopsy can detect cancer in areas that may be missed by traditional biopsy methods, leading to earlier and more effective treatment.
  • Better Risk Assessment: The detailed images and targeted sampling provide a more accurate assessment of the cancer's aggressiveness, helping in treatment planning.

Comparing MRI Fusion Prostate Biopsy with Traditional Biopsy

Traditional prostate biopsy methods, such as transrectal ultrasound-guided biopsy (TRUS), have been the standard for many years. However, MRI Fusion Prostate Biopsy offers several improvements over these traditional methods. Here is a comparison of the two approaches:

Feature Traditional Biopsy (TRUS) MRI Fusion Prostate Biopsy
Imaging Guidance Ultrasound only MRI and Ultrasound fusion
Targeting Accuracy Less precise Highly precise
Detection Rate Lower detection rate for small or hidden tumors Higher detection rate for small or hidden tumors
Sampling Error Higher risk of sampling error Lower risk of sampling error
Patient Comfort More discomfort due to multiple samples Less discomfort due to targeted sampling

As shown in the table, MRI Fusion Prostate Biopsy provides a more accurate and comfortable experience for patients, making it a preferred choice for many urologists.

Patient Experience and Recovery

The patient experience during and after an MRI Fusion Prostate Biopsy is generally positive, with minimal discomfort and quick recovery. Here are some key points to consider:

  • Procedure Duration: The entire procedure typically takes about 30-60 minutes, including the initial MRI scan and the biopsy itself.
  • Pain Management: Local anesthesia is used to minimize discomfort during the biopsy. Most patients report mild to moderate discomfort, which can be managed with over-the-counter pain relievers.
  • Recovery Time: Patients can usually return to their normal activities within a few days, although it is advisable to avoid strenuous activities for a week.
  • Follow-Up Care: Follow-up appointments are scheduled to discuss the biopsy results and plan further treatment if necessary.

Overall, the patient experience with MRI Fusion Prostate Biopsy is favorable, with many patients appreciating the precision and comfort of the procedure.

Future of MRI Fusion Prostate Biopsy

The field of prostate cancer diagnosis is continually evolving, and MRI Fusion Prostate Biopsy is at the forefront of this advancement. As technology improves, we can expect even greater accuracy and efficiency in prostate cancer detection. Some future developments may include:

  • Advanced Imaging Techniques: Further advancements in MRI technology may provide even clearer and more detailed images of the prostate gland.
  • Artificial Intelligence: The integration of AI algorithms may enhance the fusion process, making it even more precise and efficient.
  • Minimally Invasive Procedures: Continued research may lead to even less invasive biopsy techniques, further improving patient comfort and recovery.

These advancements will likely make MRI Fusion Prostate Biopsy an even more valuable tool in the fight against prostate cancer.

In conclusion, MRI Fusion Prostate Biopsy represents a significant advancement in the diagnosis of prostate cancer. By combining the precision of MRI with the real-time guidance of ultrasound, this procedure offers improved accuracy, reduced sampling error, and enhanced patient comfort. As technology continues to evolve, MRI Fusion Prostate Biopsy will play an increasingly important role in early detection and effective treatment of prostate cancer, ultimately saving lives and improving the quality of life for patients.

Related Terms:

  • mri fusion prostate
  • mri fusion prostate biopsy cost
  • mri fusion prostate needle biopsy
  • mri fusion prostate biopsy video
  • mri fusion biopsy procedure
  • mri us fusion prostate biopsy