Supracondylar Humerus Fracture

Supracondylar Humerus Fracture

Supracondylar humerus fractures are among the most common elbow injuries in children, accounting for a significant portion of pediatric orthopedic emergencies. These fractures occur just above the elbow joint, where the humerus bone narrows to form the condyles. Understanding the causes, symptoms, diagnosis, and treatment options for supracondylar humerus fractures is crucial for healthcare providers and parents alike.

Understanding Supracondylar Humerus Fractures

A supracondylar humerus fracture involves a break in the humerus bone just above the elbow joint. This type of fracture is particularly common in children aged 5 to 7 years, but it can occur in any age group. The fracture typically results from a fall onto an outstretched hand, which transmits the force up the arm and causes the bone to break.

Causes of Supracondylar Humerus Fractures

The primary cause of a supracondylar humerus fracture is a fall onto an outstretched hand. This mechanism is often seen in children who are active and prone to falls, such as during play or sports activities. Other less common causes include:

  • Motor vehicle accidents
  • Direct trauma to the elbow
  • High-impact sports injuries

Symptoms of Supracondylar Humerus Fractures

The symptoms of a supracondylar humerus fracture can vary depending on the severity of the injury. Common symptoms include:

  • Severe pain in the elbow area
  • Swelling and bruising around the elbow
  • Deformity or abnormal appearance of the elbow
  • Inability to move the arm or straighten the elbow
  • Numbness or tingling in the hand or fingers

In some cases, the fracture may cause damage to the nerves or blood vessels in the area, leading to more serious complications. It is essential to seek immediate medical attention if any of these symptoms are present.

Diagnosing Supracondylar Humerus Fractures

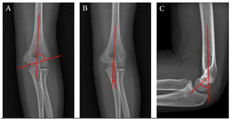
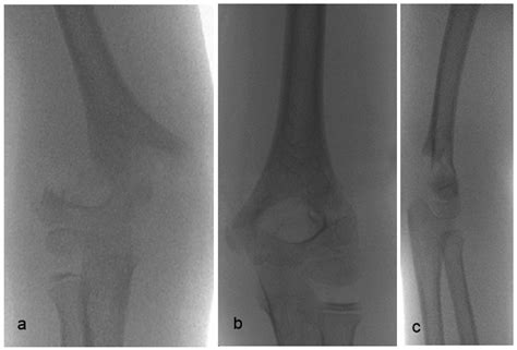
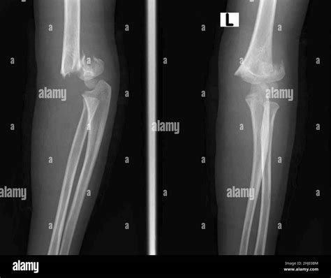
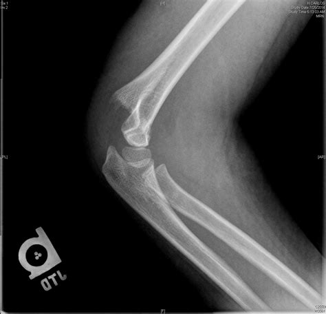
Diagnosing a supracondylar humerus fracture involves a thorough physical examination and imaging studies. The healthcare provider will assess the elbow for signs of injury, such as swelling, deformity, and tenderness. Imaging studies, such as X-rays, are crucial for confirming the diagnosis and determining the type and severity of the fracture.

X-rays are typically taken from multiple angles to provide a comprehensive view of the fracture. In some cases, additional imaging studies, such as a CT scan or MRI, may be necessary to assess the extent of the injury and plan the appropriate treatment.

Classification of Supracondylar Humerus Fractures

Supracondylar humerus fractures are classified based on the direction of the fracture line and the displacement of the bone fragments. The most commonly used classification system is the Gartland classification, which includes three types:

Type Description
Type I Non-displaced fracture with minimal angulation
Type II Displaced fracture with posterior angulation of the distal fragment
Type III Completely displaced fracture with no cortical contact between the fragments

Understanding the classification of the fracture is essential for determining the appropriate treatment plan.

Treatment Options for Supracondylar Humerus Fractures

The treatment of a supracondylar humerus fracture depends on the type and severity of the injury. The primary goals of treatment are to realign the bone fragments, stabilize the fracture, and promote healing. Treatment options may include:

Non-Surgical Treatment

For non-displaced or minimally displaced fractures (Type I), non-surgical treatment may be sufficient. This typically involves:

  • Immobilization with a cast or splint to keep the elbow in a stable position
  • Pain management with medications such as acetaminophen or ibuprofen
  • Regular follow-up appointments to monitor healing progress

Non-surgical treatment is generally effective for Type I fractures, but close monitoring is necessary to ensure proper healing.

Surgical Treatment

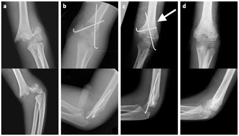
For displaced or completely displaced fractures (Type II and Type III), surgical treatment is often required to realign the bone fragments and stabilize the fracture. Common surgical procedures include:

  • Closed reduction and percutaneous pinning (CRPP): This procedure involves manipulating the bone fragments back into place without open surgery and then inserting pins to hold them in position.
  • Open reduction and internal fixation (ORIF): In more severe cases, open surgery may be necessary to realign the bone fragments and secure them with plates, screws, or other hardware.

Surgical treatment aims to restore the normal anatomy of the elbow and promote healing. Post-operative care typically includes immobilization, pain management, and physical therapy to regain range of motion and strength.

๐Ÿ“Œ Note: The choice of treatment depends on the specific characteristics of the fracture and the patient's overall health. It is essential to consult with an orthopedic specialist to determine the most appropriate treatment plan.

Complications of Supracondylar Humerus Fractures

While most supracondylar humerus fractures heal without complications, there are potential risks and complications to be aware of. These may include:

  • Nerve injury: Damage to the nerves in the elbow area can lead to numbness, tingling, or weakness in the hand or fingers.
  • Vascular injury: Injury to the blood vessels can result in reduced blood flow to the hand, leading to ischemia or compartment syndrome.
  • Malunion or nonunion: Improper healing of the fracture can result in malunion (healing in a deformed position) or nonunion (failure to heal).
  • Stiffness or loss of range of motion: Prolonged immobilization or inadequate rehabilitation can lead to stiffness and limited range of motion in the elbow.

Regular follow-up appointments and adherence to the treatment plan can help minimize the risk of complications and promote a successful recovery.

Rehabilitation and Recovery

Rehabilitation and recovery from a supracondylar humerus fracture involve a gradual return to normal activities and a focus on regaining strength and range of motion. The rehabilitation process typically includes:

  • Immobilization: Initially, the elbow may be immobilized in a cast or splint to promote healing.
  • Pain management: Medications and other pain management techniques may be used to control discomfort during the healing process.
  • Physical therapy: Once the fracture has healed sufficiently, physical therapy exercises can help restore range of motion, strength, and function.
  • Gradual return to activities: As healing progresses, patients can gradually return to normal activities, including sports and other physical pursuits.

It is essential to follow the healthcare provider's recommendations for rehabilitation and recovery to ensure a successful outcome.

๐Ÿ“Œ Note: The timeline for recovery can vary depending on the severity of the fracture and the individual's overall health. Patience and adherence to the rehabilitation plan are crucial for a successful recovery.

Prevention of Supracondylar Humerus Fractures

While it is not always possible to prevent supracondylar humerus fractures, especially in active children, there are steps that can be taken to reduce the risk of injury. These include:

  • Supervision: Ensuring adequate supervision during play and sports activities can help prevent falls and other injuries.
  • Safety measures: Implementing safety measures, such as using appropriate protective gear and ensuring safe play environments, can reduce the risk of injury.
  • Education: Educating children about safe play practices and the importance of following safety guidelines can help prevent injuries.

By taking these precautions, the risk of supracondylar humerus fractures and other elbow injuries can be minimized.

Supracondylar humerus fractures are a common and significant injury in children, requiring prompt diagnosis and appropriate treatment. Understanding the causes, symptoms, diagnosis, and treatment options for these fractures is essential for healthcare providers and parents. With proper care and rehabilitation, most children can make a full recovery and return to their normal activities. Regular follow-up and adherence to the treatment plan are crucial for a successful outcome and minimizing the risk of complications.

Related Terms:

  • supracondylar humerus fracture splint
  • supracondylar humerus fracture types
  • distal humerus fracture
  • supracondylar humerus
  • supracondylar humerus fracture treatment
  • supracondylar humerus fracture classification