Twin Reversed Arterial Perfusion

Twin Reversed Arterial Perfusion

Twin Reversed Arterial Perfusion (TRAP) sequence is a rare but serious complication that can occur in monochorionic twin pregnancies. This condition arises when one twin, known as the "pump twin," develops normally and supplies blood to the other twin, known as the "acardiac twin," through abnormal blood vessels. The acardiac twin lacks a functional heart and relies entirely on the pump twin for circulation, leading to a range of severe health issues for both twins.

Understanding Twin Reversed Arterial Perfusion

TRAP sequence is a complex condition that requires a deep understanding of its underlying mechanisms and implications. Monochorionic twin pregnancies, where the twins share a single placenta, are at higher risk for this condition. The abnormal blood flow from the pump twin to the acardiac twin can lead to high-output cardiac failure in the pump twin, potentially causing heart failure, hydrops, and even death.

Diagnosis of Twin Reversed Arterial Perfusion

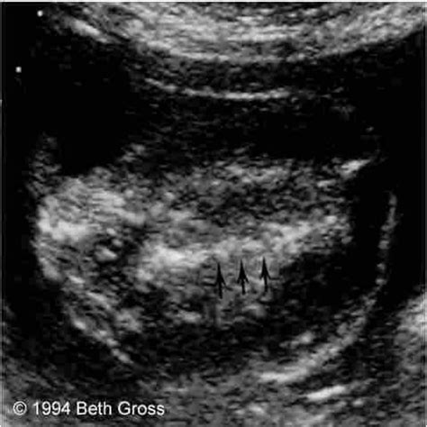
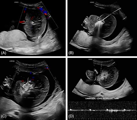
Early diagnosis of TRAP sequence is crucial for managing the condition effectively. Ultrasound examinations are the primary diagnostic tool, typically performed between 10 and 14 weeks of gestation. Key indicators of TRAP sequence include:

  • Absence of a heartbeat in the acardiac twin.
  • Reverse blood flow from the pump twin to the acardiac twin.
  • Abnormal development of the acardiac twin, often characterized by a lack of a functional heart and other organ malformations.

Doppler ultrasound is particularly useful in visualizing the abnormal blood flow patterns characteristic of TRAP sequence. Magnetic Resonance Imaging (MRI) may also be used to provide a more detailed assessment of the twins' anatomy and the extent of the condition.

Management and Treatment Options

The management of TRAP sequence involves a multidisciplinary approach, including obstetricians, fetal medicine specialists, and pediatric cardiologists. The primary goal is to preserve the health of the pump twin while addressing the complications posed by the acardiac twin. Treatment options include:

  • Fetal Intervention: Procedures such as radiofrequency ablation or laser coagulation can be performed to interrupt the abnormal blood vessels supplying the acardiac twin. These interventions aim to reduce the hemodynamic burden on the pump twin.
  • Medical Management: Close monitoring and supportive care for the pump twin, including medications to manage heart failure and other complications, may be necessary.
  • Delivery Planning: Timing and mode of delivery are carefully planned to minimize risks to both the pump twin and the acardiac twin. Early delivery may be considered if the pump twin's condition deteriorates.

Fetal intervention is often the preferred approach, as it can significantly improve the outcomes for the pump twin. However, the success of these interventions depends on various factors, including the gestational age at diagnosis, the severity of the condition, and the overall health of the pump twin.

Risks and Complications

TRAP sequence poses significant risks and complications for both twins. The pump twin is at high risk of developing high-output cardiac failure, which can lead to hydrops fetalis, a condition characterized by abnormal fluid accumulation in the fetus. Other potential complications include:

  • Premature birth.
  • Intrauterine growth restriction (IUGR).
  • Neurological impairments.
  • Maternal complications, such as preeclampsia and placental abruption.

Early detection and intervention are critical in mitigating these risks and improving the chances of a successful outcome for the pump twin.

Long-Term Outcomes

The long-term outcomes for infants affected by TRAP sequence vary widely. The survival rate of the pump twin depends on several factors, including the timing and effectiveness of the intervention, the presence of other congenital anomalies, and the overall health of the mother. Infants who survive may require ongoing medical care and monitoring for potential complications, such as:

  • Cardiac issues.
  • Neurological impairments.
  • Growth and developmental delays.

Regular follow-up with pediatric specialists is essential to ensure the best possible outcomes for these infants.

Support and Resources

Families affected by TRAP sequence often face significant emotional and practical challenges. Support from healthcare providers, support groups, and community resources can be invaluable. Organizations that specialize in twin pregnancies and fetal medicine can provide information, emotional support, and practical advice to help families navigate this complex condition.

It is important for families to stay informed about the latest research and treatment options, as advancements in fetal medicine continue to improve outcomes for infants affected by TRAP sequence.

📝 Note: Families should seek support from healthcare providers and support groups to cope with the emotional and practical challenges of TRAP sequence.

TRAP sequence is a rare but serious complication in monochorionic twin pregnancies. Early diagnosis, timely intervention, and comprehensive management are essential for improving outcomes for the pump twin. While the condition poses significant risks and challenges, advancements in fetal medicine offer hope for better outcomes and improved quality of life for affected infants.

Related Terms:

  • twin reversed arterial perfusion ultrasound
  • reversed pulse flow mc twin
  • acardiac twin syndrome pictures
  • twin transverse artery perfusion
  • twin reversed arterial perfusion trap
  • acardiac twin images